PATHOLOGIES DU SINUS FRONTAL
Chirurgie du Nez, des Sinus et des Fosses Nasales
.
Symptômes
.
Les douleurs du sinus frontales se situent au niveau du front et entre les yeux. Des douleurs à ce niveau ne sont pas spécifiques néanmoins de douleurs liées au sinus frontal et de nombreuses autres pathologies telles que la migraine, les céphalées de tension, les troubles de la vision, etc peuvent donner ce type de douleurs. Toutefois, la présence d’un écoulement nasal sale, l’augmentation de la douleur au mouchage ou la tête penchée en avant sont assez évocatrice de douleurs en rapport avec une sinusite frontale.
.
Examen clinique
.
Votre ORL après vous avoir interrogé sur vos symptômes et leurs fréquence, examinera vos sinus. Pour cela il utilisera un nasofibroscope, c’est à dire une caméra flexible qu’il passera à travers vos narines pour regarder vos fosses nasales voire vos sinus. Il recherchera des écoulements purulent pouvant provenir du sinus frontal (en cas de sinusite), voire des tumeurs ce qui est beaucoup plus rare.
.
Examens paracliniques
.
Deux examens sont importants pour l’étude du sinus frontal:
.
Le scanner des sinus
Cet examen d’imagerie est capital pour diagnostiquer la pathologie frontale (sinusite, mucocèle, papillome inversé, tumeur, brèches méningées, méningocèles), et pour planifier l’intervention. Il permet notamment au chirurgien d’utiliser une navigation assistée par ordinateur pour lui permettre de mieux se repérer dans les sinus (sorte de GPS chirurgical) dont la variabilité de l’anatomie est très importante.
Dans le Service ORL du CHU de Caen nous utilisons la neuronavigation magnétique Fiagon qui permet de naviguer à la fois avec un scanner mais aussi si besoin, avec une IRM.
.
Voir une vidéo de l’utilisation de la neuronavigation
.
L’IRM des sinus
Cet examen est très important en cas de tumeur des sinus ou pour diagnostique une mucocèle.
Il permet de caractériser la lésion et de connaitre, le cas échéant son extension aux tissus environnant le sinus frontal, ce que le scanner peut rarement faire. Il est donc fréquemment complémentaire du scanner des sinus.
.
La Chirurgie
La chirurgie du sinus frontal est une des chirurgies les plus compliquée de la chirurgie sinusienne. Elle est toutefois fréquemment réalisée dans les structures spécialisées comme le Service ORL du Chu de Caen. La difficulté tient au fait que l’anatomie du sinus frontal est très variable, et que l’orifice de drainage du sinus est très petit donc parfois très difficile à identifier. De plus, ce sinus malgré une chirurgie parfaitement réalisée peut avoir tendance à ce refermer en « surcicatrisant ». Ce processus est malheureusement peu prévisible.
Plusieurs types de chirurgie sont possible:
.
L’ouverture simple du sinus frontal (Sinusotomie Draf I)
Elle consiste en l’ouverture endoscopique, par les narines, des cellules de l’ethmoïde antérieure qui se situent en dessous du sinus frontal pour avoir accès à celui ci.
.
Voir une vidéo de l’intervention
.
La sinusotomie frontale Draf II
Elle utilise la même technique endoscopique mais l’ouverture du sinus frontale est élargie dans sa partie basse à l’aide de fraises pour permettre un meilleur drainage
.
La sinusotomie frontale Draf III
Il s’agit de l’intervention la plus technique par voie endonasale. Elle consiste à fraiser le plancher des deux sinus frontaux et à les réunir en fraisant la cloison qui les sépare. Elle nécessite un temps de cicatrisation important après la chirurgie et des lavages de fosse nasales réguliers.
.
Voir une vidéo de l’intervention
La chirurgie par voie externe
Quand une voie endoscopique endonasale par les narines est impossible, le chirurgien peut décider de réaliser l’intervention par une voie externe, c’est à dire en faisant une incision sur la peau. Cette incision peut être réalisée dans les cheveux (voie bicoronale) et nécessite un décollement important du scalp pour accéder au sinus frontal. Une voie direct par les sourcils ( sourcillière) est aussi possible.
.
Les pathologies du sinus frontal
Elles sont multiples: infectieuses, tumorales, traumatiques ou spontanées.
.
Les sinusites frontales
Elles peuvent être aiguës. Dans ce cas elles se révèlent par des douleurs importante d’un sinus frontal avec un écoulement nasal. Elles régressent sous traitement antibiotique la plupart du temps et ne nécessite pas de traitement chirurgical en urgence sauf si complication (empyème, méningite), ce qui est rare.
Elles peuvent être chroniques, mais se révéler par la répétition de sinusites aiguës. Sinon elles peuvent se résumer à des douleurs sourdes mais fréquentes en regard d’un des sinus frontal. Elle sont secondaire à une anomalie anatomique du sinus frontal le plus souvent, ou a des polypes (polypose nasosinusienne). Une poche de mucus peut s’être formée au fur et à mesure, créant une mucocèle. Si le traitement médical échoue, une chirurgie visant à corriger l’anomalie osseuse peut être proposée.
Voir une vidéo de l’intervention
.
Les mucocèles frontales
Il s’agit d’une poche de mucus au sein du sinus frontal qui n’arrive plus à s’écouler. Cette poche grossi lentement et refoule progressivement les structures adjacentes (œil, cerveau) ou se surinfecte régulièrement et donne des sinusites aiguës ou des douleurs de sinusite chronique.
Une chirurgie est indispensable pour vider cette poche de pus, soit par voie endonasale, soit par voie externe.
.
Voir une vidéo de l’intervention
.
Les papillomes inversés
Le papillome inversé est une tumeur bénigne des fosses nasales d’origine virale. Elle peut devenir cancéreuse si on la laisse évoluer trop longtemps. Cette lésion doit donc être enlevée si elle est présente dans le sinus frontal, qu’elle y naisse ou qu’elle s’y étende. Ce geste peut nécessiter une sinusotomie de Draf I, II ou III selon sa localisation et son extension.

Papillome inversé de la fosse nasale droite
.

Vue endoscopique d’un papillome inversé
.

Papillome inversé après son exérèse
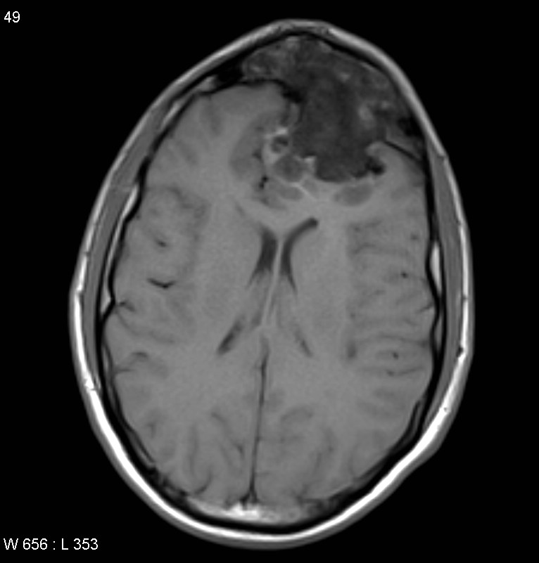
Les tumeurs malignes
Elles sont heureusement rare. La plupart du temps il s’agit de tumeurs provenant d’une autre zone des fosses nasales mais dont la progression atteint le sinus frontal ( adénocarcinomes de l’ethmoïde, carcinome épidermoïdes, esthésioneuroblastomes……).

Lésion maligne du sinus frontal droit
.
Les brèches de liquide céphalorachidien et méningocèles
Qu’elles soient spontanées ou post-traumatiques, les brèches et les méningocèles (hernie cérébrale à travers une paroi du sinus frontal) nécessitent un traitement chirurgical pour éviter le risque de méningite ou d’abcès cérébral.

Méningocèle du sinus frontal gauche. A et B avant traitement; C et D après traitement endoscopique (flèche blanche montrant un comblement fibreux)
Depuis quelques années, l’amélioration du matériel et des techniques de chirurgie endoscopique ont permis de traiter la majorité de ces pathologies par voie endonasale. Parfois, néanmoins, quand la lésion est trop latérale ou trop importante, le chirurgien peut être amené à opérer par voie externe bicoronale exclusive ou associée à une voie endonasale (voie combinée).

Brèche du sinus frontal droit ayant nécessité une voie externe bicoronale car trop latérale pour une voie endoscopique
Voir une vidéo de l’intervention Voir l’article sur la fermeture des brèches du sinus frontal Voir l’article sur la neuronavigation Fiagon dans le sinus frontal








