LA POLYPOSE NASOSINUSIENNE
Chirurgie du Nez, des Sinus et des Fosses Nasales
Qu’est ce qu’un polype nasal?
Les polypes nasosinusiens sont des excroissances de consistance molle, indolores et non cancéreuses situées sur la muqueuse des fosses nasales et des sinus. Ils pendent comme des grappes de raisins.

Vue endoscopique d’un polype nasal
Ils résultent d’une inflammation chronique pouvant peut-être être attribué à un asthme, une infection récurrente, des allergies, une sensibilité à des médicament ou à certains troubles immunitaires.
Les polypes de petite taille peuvent ne pas provoquer de symptômes. Des polypes plus importants peuvent bloquer la respiration nasale ou entraîner des problèmes respiratoires, une perte d’ odorat ou des infections respiratoires et sinusiennes fréquentes.
Les polypes nasaux peuvent affecter n’importe qui, mais ils sont plus fréquents chez les adultes. Les médicaments peuvent souvent réduire ou éliminer les polypes, mais une chirurgie est parfois nécessaire pour les éliminer. Même après un traitement réussi, les polypes récidivent souvent.
Quels sont les symptômes d’une polypose nasosinusienne?
Les polypes nasosinusiens sont liés à une inflammation de la muqueuse de vos fosses nasales et de vos sinus de plus de 12 semaines (rhinosinusite chronique, également connue sous le nom de sinusite chronique). Cependant, il est possible – et même plus fréquent – d’avoir une sinusite chronique sans polypes.
Les polypes en eux-mêmes sont mou et sont indolents, donc, s’ils sont petits, vous pouvez ne pas vous rendre compte de leur présence. Par contre de nombreux polypes ou un gros polype peuvent bloquer vos fosses nasales et vos sinus.
Les signes et symptômes communs de la polypose nasosinusienne comprennent:
- Un nez qui coule
- Obstruction nasale persistante
- Sensation d’écoulement postérieur
- Diminution ou absence d’odorat
- Perte du goût
- Douleur faciale ou maux de tête
- Douleur dans les dents supérieures
- Un sentiment de pression sur votre front et votre visage
- Ronflement
Quand voir un médecin?
Consultez votre médecin si vos symptômes durent plus de 10 jours. Les symptômes de la sinusite chronique et de la polypose sont semblables à ceux de nombreuses autres affections, y compris le rhume commun.
Quelles sont les causes d’une polypose nasosinusienne?
Les scientifiques ne comprennent pas encore complètement ce qui provoque la polypose nasosinusienne. On ne sais pas pourquoi certaines personnes développent une inflammation chronique ou pourquoi une inflammation chronique continue déclenche la formation de polypes chez certaines personnes et pas chez d’autres.
L’inflammation se produit dans muqueuse de votre nez et de vos sinus. Il semble que les personnes qui développent des polypes aient une réponse différente de leur système immunitaire et des marqueurs chimiques différents dans leur muqueuse que ceux qui ne développent pas de polypes.
Les polypes peuvent se former à tout âge, mais ils sont plus fréquents chez les adultes jeunes et d’âge moyen. Les polypes peuvent se former n’importe où dans vos sinus ou votre fosse nasale.
Quels sont les facteurs de risque?
Toute pathologie qui déclenche une inflammation chronique dans vos fosses nasales ou vos sinus, tels que les infections ou les allergies, peut augmenter votre risque de développer des polypes. Les pathologies souvent associées aux polypes comprennent:
- L’asthme, une maladie qui cause inflammation et constriction au niveau pulmonaire.
- L’intolérance à l’aspirine peut entraîner la survenue de polypes chez certaines personnes.
- L’intolérance aux sulfites, conservateur très présent dans les aliments transformés
- La sinusite fongique allergique, une allergie aux champignons aéroportés
- La mucoviscidose, un trouble génétique qui entraîne la production et la sécrétion de fluides collants anormalement épais, notamment au niveau pulmonaire.
- Le syndrome de Churg-Strauss, une maladie rare qui cause l’inflammation des vaisseaux sanguins.
- Les antécédents familiaux peuvent également jouer un rôle. Il semble que certaines variations génétiques associées à la fonction du système immunitaire favorisent le développement des polypes.
Quelles complications peut provoquer une polypose nasosinusienne?
Les polypes peuvent causer des complications car ils bloquent le flux d’air sinusien et le drainage des liquides. Les complications potentielles comprennent:
- Apnée obstructive du sommeil. Dans cet état potentiellement grave, vous arrêtez fréquemment de respirer pendant le sommeil.
- Les crises d’asthme. La rhinosinusite chronique peut aggraver l’asthme.
- Infections sinusiennes. Les polypes peuvent vous rendre plus sensibles aux infections sinusiennes qui peuvent se répéter et se chroniciser.
Comment diagnostique-t’on une polypose?
Votre ORL peut habituellement faire le diagnostic de polypose nasosinusienne sur votre interrogatoire, un examen physique général et un examen de votre nez. Les polypes peuvent être visibles à l’aide d’un simple spéculum nasal ou parfois même à l’œil nu.
Les autres tests diagnostiques incluent:
L’endoscopie nasale
Elle permet à votre ORL d’effectuer un examen détaillé dans votre nez et de vos sinus. Il ou elle insère l’endoscope dans une narine et le guide dans votre cavité nasale.
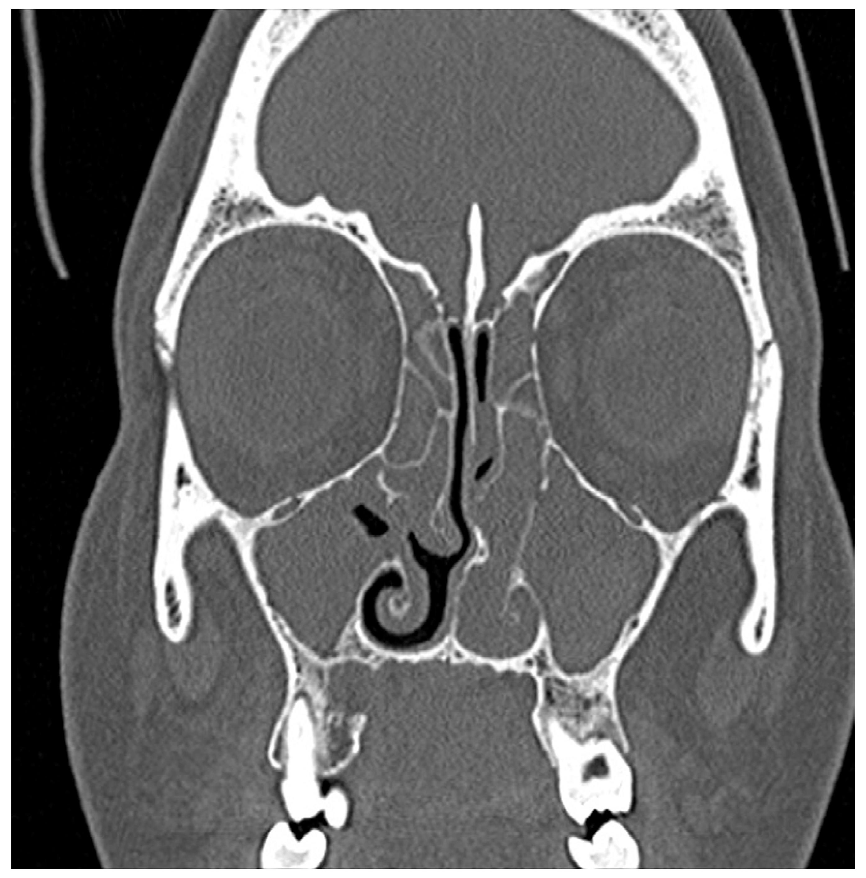
L’imagerie
Les images obtenues avec un scanner peuvent aider votre médecin à déterminer la taille et l’emplacement des polypes dans les zones plus profondes de vos sinus et d’évaluer l’étendue de l’inflammation. Ces images peuvent également aider votre médecin à exclure la présence d’autres obstructions possibles dans votre cavité nasale, telles que des anomalies structurales ou un autre type de lésions cancéreuses ou non cancéreuses.
Les tests allergiques
Votre ORL peut suggérer des tests cutanés pour déterminer si les allergies contribuent à l’inflammation chronique de vos sinus. Avec un test cutané, de petites gouttes d’allergènes sont piquées dans la peau de votre avant-bras. Les gouttes sont laissées sur votre peau pendant 15 minutes avant que votre médecin ou votre infirmière n’observe votre peau pour détecter les signes de réactions allergiques (rougeur, œdème local, démangeaisons).
Si un test cutané ne peut pas être effectué, votre médecin peut demander un examen sanguin qui détecte des anticorps spécifiques contre différents allergènes.
Recherche d’une mucoviscidose
Si vous avez un enfant chez qui ont été diagnostiqué des polypes nasosinusiens, votre médecin peut suggérer des tests recherchant une mucoviscidose, une maladie héréditaire affectant les glandes qui produisent des mucus, des larmes, de la sueur, de la salive et les sucs digestifs. Le test de diagnostic standard pour la mucoviscidose est un test de sueur non invasif qui détermine si la transpiration de votre enfant est plus salée que la sueur de la plupart des gens.
Quels sont les différents traitements d’une polypose nasosinusienne
La sinusite chronique, avec ou sans polypes, est une maladie difficile à éliminer complètement. Il vous faudra collaborer avec votre médecin référent pour élaborer le meilleur plan de traitement à long terme pour gérer vos symptômes et pour traiter des facteurs tels que des allergies pouvant contribuer à l’inflammation chronique.
L’objectif du traitement des polypes nasosinusiens est de réduire leur taille ou de les éliminer. Les médicaments sont généralement la première approche. La chirurgie peut parfois être nécessaire, mais elle ne peut pas fournir une solution permanente car les polypes ont tendance à revenir.
Médicaments
Le traitement du polype nasal débute habituellement avec des médicaments, ce qui peut rendre les grands polypes rétrécir ou disparaître. Les traitements médicamenteux peuvent inclure:
Les corticostéroïdes nasaux (rhinocorticoïdes)
Votre ORL est susceptible de prescrire un spray nasal de corticostéroïde pour réduire l’inflammation. Ce traitement peut rétrécir les polypes ou les éliminer complètement. Les rhinocorticoides comprennent le fluticasone, le budésonide, le mométasone, le triamcinolone, le beclométhasone, le funisolide…
Corticoïdes oraux
Si un rhinocorticoïde n’est pas efficace, votre ORL peut vous prescrire un corticostéroïde oral, comme de la prednisone, seul ou en association avec un spray nasal. Parce que les corticostéroïdes par voie orale peuvent causer des effets secondaires graves, ils ne vous serons prescrits généralement que pour une période limitée.
Autres médicaments
Votre ORL peut vous prescrire des médicaments pour traiter les affections qui contribuent à pérenniser votre rhinosinusite chronique. Ceux-ci peuvent inclure des antihistaminiques pour traiter les allergies ou des antibiotiques pour traiter une infection chronique ou récurrente. La désensibilisation à l’aspirine peut être bénéfique pour certains patients atteints de polypose nasosinusienne et de sensibilité à l’aspirine. Enfin, très récemment des biothérapies sont apparues et semblent montrer des résultats prometteurs chez les patients présentant une polypose sévère et déjà opérée.
Chirurgie
Si le traitement médicamenteux ne diminue pas ou ne supprime pas les polypes nasosinusiens, il se peut que vous ayez besoin d’une chirurgie endoscopique pour éliminer les polypes et pour corriger les problèmes de sinus qui les rendent propices à l’inflammation et au développement des polypes.
Pendant la chirurgie endoscopique, le chirurgien insère un petit tube avec une petite caméra (endoscope) dans vos narines et le guide dans vos cavités sinusiennes. Il ou elle utilise des instruments miniaturisés spécifiques pour enlever les polypes (polypectomie) et les obstacles qui bloquent l’écoulement des fluides de vos sinus notamment au niveau du sinus maxillaire (méatotomie).
Votre chirurgien peut également ouvrir l’ensemble des sinus paranasaux pour permettre l’ablation d’une grande partie des cloisons nasales favorisant la récidive des polypes (ethmoïdectomie totale). La chirurgie endoscopique est effectuée sous anesthésie générale, lors d’une hospitalisation avec une nuit à l’hôpital ou en ambulatoire.
Après une intervention chirurgicale, vous utiliserez probablement un spray nasal de corticostéroïde pour éviter la récidive des polypes nasaux. Votre ORL vous recommandera également l’utilisation de lavages de nez à l’eau salée pour favoriser la cicatrisation des fosses nasales et des sinus.
Peut-on prévenir la survenue d’une polypose nasosinusienne?
Vous pouvez aider à réduire vos chances de développer des polypes nasaux ou de les voir récidiver après le traitement avec les stratégies suivantes:
- Gérer vos allergies et votre asthme. Suivez les recommandations de votre médecin traitant pour gérer l’asthme et les allergies. Si vos symptômes ne sont pas bien contrôlés, parlez-en à votre ORL pour modifier votre Traitement.
- Éviter les irritants des voies aériennes. Dans la mesure du possible, évitez de respirer des substances aériennes susceptibles de contribuer à l’inflammation ou à l’irritation du nez et des sinus, comme les allergènes, la fumée du tabac, les vapeurs chimiques, la poussière et les débris fins.
- Ayez une bonne hygiène. Lavez-vous les mains régulièrement et complètement. C’est l’une des meilleures façons de protéger contre les infections bactériennes et virales qui peuvent provoquer une inflammation des fosses nasales et des sinus.
- Humidifiez votre maison. Utilisez un humidificateur si l’air dans votre maison a tendance à être sec. Cela peut aider à humecter vos voies respiratoires, à améliorer l’écoulement du mucus de vos sinus et à prévenir blocage et inflammation
- Faites des lavages de nez. Utilisez un spray à eau salée ou un lavage nasal au sérum physiologique pour rincer vos voies nasales. Cela peut améliorer l’écoulement du mucus et éliminer les allergènes et autres irritants
- Vous pouvez acheter des pulvérisateurs d’eau salée en vente libre ou des kits de lavage nasaux avec des appareils pour faire votre lavage.
Médecin référent au CHU dans la prise en charge de la polypose nasosinusienne: Dr Vincent PATRON



