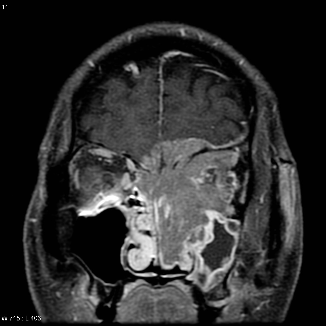
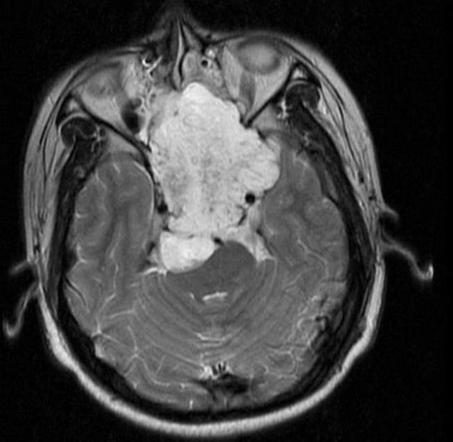
TUMEURS MALIGNES DE LA BASE DU CRANE
Chirurgie du Nez , des Sinus et des Fosses Nasales
L’équipe de chirurgie de la base de crâne du CHU de Caen est qualifiée pour diagnostiquer et traiter la grande variété de maladies malignes qui peuvent affecter la région de base du crâne. Ces tumeurs appartiennent aux groupes suivants:
-
Carcinomes épidermoïdes
-
Mélanomes
-
Carcinomes neuroendocrines
-
Adénocarcinomes
-
Carcinome indifférencié sinonasal
-
Cancers des glandes salivaires
-
Carcinomes adénoides kystiques
-
Esthésioneuroblastomes
-
Sarcomes
-
Lymphome primitifs
-
Le myélome multiple
Carcinomes épidermoïdes
Le carcinome épidermoïde est un type de cancer de la peau et de la muqueuse buccale et pharyngée qui peut se produire n’importe où sur ou dans le corps, mais le plus souvent, il se pose sur des zones exposées au soleil telles que le visage, les oreilles, le cou, les mains et les bras. Ce cancer peut apparaître comme une tuméfaction croissante ou un tache plane et rouge. Il peut avoir une apparence écailleuse ou écorchée. D’autres signes possibles de cancer épidermoïde sont une plaie qui ne guérit pas ou un grain de beauté ou une verrue qui a récemment changé d’apparence.
Si elles ne sont pas traitées, les cellules du carcinome épidermoïde peuvent se propager aux sinus ou à d’autres zones de la base du crâne et du cerveau.
Les cancers épidermoïde cutanés et muqueux sont excisés chirurgicalement. D’autres techniques pour éliminer les lésions cutanées comprennent l’utilisation de lasers spécialisés. Les chirurgiens de la base du crâne peuvent adopter une approche mini-invasive, à l’aide d’un microscope et d’un endoscope pour entrer dans l’oreille. Pour les cancers des sinus, les chirurgiens peuvent effectuer une chirurgie endonasale, en utilisant un endoscope avec une petite caméra et des instruments spécialisés à travers le nez pour atteindre la tumeur.
Une irradiation peut être nécessaire si le cancer de la peau des cellules squameuses s’est propagé aux organes ou aux ganglions lymphatiques, ou si le cancer ne peut pas être traité avec une intervention chirurgicale.
Mélanome
Le mélanome est la forme la plus grave de cancer de la peau, et il est généralement causé par l’exposition à la lumière ultraviolette du soleil ou des cabines de bronzage. Ils peuvent parfois naître aussi sur la muqueuse buccale ou des sinus. Les tumeurs apparaissent dans les cellules cutanées productrices de pigments appelées mélanocytes. Sur la peau les mélanomes ressemblent parfois à des grains de beauté ou peuvent se développent à partir de grains de beauté préexistants. Les symptômes du cancer peuvent être la modification récente d’un grains de beauté existant : aparition d’un saignement, croissance, changement de couleur, asymétrie. Les mélanomes sont souvent noirs ou marron, mais ils peuvent également être de couleur chair, rose, rouge, bleu ou blanc.
Les mélanomes détectés tôt sont souvent confinés à un point de la peau et ne sont pas très profonds (superficiels). Les mélanomes invasifs sont des cancers qui ont pénétré plus profondément dans la peau et se sont propagés à d’autres parties du corps. Le mélanome invasifs avancés peuvent se propager à la base du crâne et au cerveau.
Le traitement du mélanome de la base du crâne implique l’élimination chirurgicale de la lésion suivie d’autres traitements, tels qu’une radiothérapie ou une chimiothérapie, selon le stade du cancer (localisé ou métastatique). Un chirurgien peut éliminer la tumeur en fonction de son emplacement.
Les carcinomes neuroendocrines
Les tumeurs neuroendocrines, également appelées NET, peuvent se produire dans n’importe quelle partie du corps qui contient des cellules neuroendocrines. Les NET, qui sont généralement cancéreuses, varient en taille et en vitesse de croissance, et affectent donc les patients de différentes manières. Certaines tumeurs neuroendocrines sont appelées NET fonctionnelles parce qu’elles donnent des symptômes provoqués par la sécrétion d’hormones et d’autres substances.
Les options de traitement incluent la chirurgie, la chimiothérapie, la chimioembolisation, l’ablation par radiofréquence, la radiothérapie et le traitement par radionucléides ciblés.
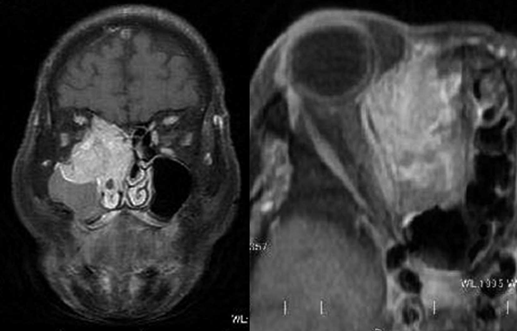
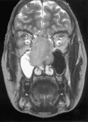
Adénocarcinomes
L’adénocarcinome est un type de cancer qui se forme dans les glandes sécrétrices du mucus. Le traitement de l’adénocarcinome varie en fonction de l’endroit où il se développe dans le corps, mais peut inclure une chirurgie pour éliminer le tissu glandulaire affecté ainsi que certains tissus environnants.
Au niveau de la base du crâne il prend souvent naissance dans l’ethmoïde, plus précisément dans la fente olfactive et est alors appelé « adénocarcome de l’ethmoide ». C’est une tumeur retrouvée classiquement chez les travailleurs du bois (ébénistes, parquetiers…) exposés de longues années aux poussières de bois. Il s’agit alors d’une maladie professionnelle.
Une chirurgie minimale invasive endoscopique de la base du crâne peut souvent être utilisée, ce qui contribue à réduire les effets secondaires et le risque d’infection et accélère la guérison. Certains patients nécessitent également une radiothérapie ou une chimiothérapie. À l’aide de technologies de pointe et de dispositifs d’imagerie, les rayonnements peuvent cibler précisément les tumeurs des adénocarcinomes tout en épargnant les tissus sains et les organes environnants.
Voir une vidéo de l’intervention
Le carcinome indifférencié sinonasal
Le carcinome indifférencié sinonasal (SNUC) est un cancer rare de la cavité nasale et / ou des sinus paranasaux. Les premiers symptômes de cette maladie comprennent un saignement de nez, un écoulement nasal, une vision double, des yeux gonflés et une obstruction nasale.
Le traitement se compose de traitement combinés chirurgicaux, de radiothérapie et de chimiothérapie.
Cancers des glandes salivaires
Les cancers des glandes salivaires sont rares. Ils commencent dans les glandes salivaires de la bouche, du cou ou de la gorge. Le cancer survient le plus souvent dans la glande parotide, juste devant l’oreille. Les premiers signes de la maladie comprennent l’apparition d’une masse indolore de l’oreille, de la joue, de la mâchoire, de la lèvre ou de la cavité buccale. Les autres symptômes peuvent être, des difficultés à avaler ou à ouvrir la bouche largement, des douleurs faciales, l’engourdissement ou la faiblesse du visage pouvant aller jusqu’à la paralysie. Le traitement peut inclure la chirurgie, la radiothérapie, la chimiothérapie.
Carcinome adénoïde kystique
Le carcinome adénoïde kystique (CAK) est un type peu commun de cancer qui se forme dans les glandes sécrétoires – ou les glandes salivaires de la tête et du cou. Les tumeurs sont généralement indolores et à croissance lente, bien que les tumeurs avancées puissent causer des douleurs ou des paralysies nerveuses ainsi que des troubles de la vision, la parole de la déglutition et de la respiration.
Les CAK sont traités chirurgicalement. Certains patients subissent également une radiothérapie ou une thérapie par faisceaux de neutrons, qui est un type de radiothérapie qui utilise un faisceau de neutrons à haute énergie au lieu des rayons X.
Esthésioneuroblastome
L’esthesioneuroblastome, également connu sous le nom de neuroblastome olfactif, est un cancer rare qui se manifeste dans le bulbe olfactive, la partie du cerveau qui interprète l’odeur. Les symptômes varient en fonction de l’emplacement et de l’étendue de la tumeur. Les symptômes les plus courants sont l’obstruction nasale, les saignements de nez, les maux de tête, les douleurs faciales et la diminution de l’odorat.
Les esthésioneuroblastomes sont traités chirurgicalement par chirurgie endoscopique endonasale et peuvent être suivis d’une radiothérapie ou d’une chimiothérapie.
Sarcomes
Les sarcomes sont des tumeurs qui apparaissent dans les tissus conjonctifs du corps. Il existe plusieurs types, y compris:
Les chondrosarcomes, qui se composent principalement de cartilage et peuvent varier en sévérité allant de cancers peu susceptibles de se propager à des tumeurs agressives qui présentent un risque élevé de propagation (métastases). Les symptômes peuvent inclure des douleurs profondes et sourdes survenant souvent la nuit.
Les chondrosarcomas nécessitent une intervention chirurgicale. Une radiothérapie et une chimiothérapie peuvent également être effectuées après une chirurgie ou si la tumeur réside dans une zone chirurgicale inaccessible.
Le rhabdomyosarcome est une tumeur maligne du tissu musculaire où il se rattache aux os. Cela peut se produire dans de nombreux endroits du corps. Les sites les plus courants sont les structures de la tête et du cou, le tractus urogénital et les bras ou les jambes. Le rhabdomyosarcome est la tumeur des tissus mous la plus fréquente chez les enfants.
L’apparition d’une masse est habituellement le premier signe de la maladie. Cependant, les tumeurs qui se développent dans le nez ou la gorge peuvent provoquer des saignements, des congestion, des problèmes de déglutition ou des problèmes neurologiques si elles s’étendent jusqu’au cerveau. Les tumeurs cérébrales peuvent causer des troubles visuels ou une perte auditive.
Le traitement commence généralement par une radiothérapie et / une chimiothérapie suivie d’une intervention chirurgicale.
Le chordome est un type rare de sarcome qui touche le plus souvent la base du crâne ou la base de la colonne vertébrale (ou du sacrum). Les sous-types comprennent les chordomes conventionnels, chondroïdes et différenciés. Les signes révélateurs les plus courants d’un chordome de la base du crâne sont des maux de tête, des douleurs cervicales ou des troubles visuels.
Les patients atteints de chordomes subissent une chirurgie suivie d’une radiothérapie, y compris des radiations stéréotaxiques du corps (qui repose sur l’imagerie tridimensionnelle pour focaliser précisément les rayons sur la tumeur), afin de réduire le risque de récidive. Des essais cliniques de médicaments ciblés contre le cancer pour prévenir la récurrence du chordome sont en cours.
Lymphome primitif
Le lymphome primitif est un cancer des globules blancs dans les sinus, la cavité buccale ou les ganglions du cou. Les symptômes varient en fonction de la localisation allant d’une obstruction nasale, saignement de nez, quand il atteint les sinus, difficulté à avaler, à fermer la bouche et saignements quand il atteint la cavité buccale. Quand il nait au niveau des ganglions du cou, il se présente comme une masse cervicale, souvent associé à une perte de poids et des sueurs nocturnes.
Le lymphome primitif est traité par une chimiothérapie. Les patients reçoivent généralement des médicaments appelés corticostéroïdes pour lutter contre le gonflement et améliorer les symptômes. La radiothérapie peut être associée à la chimiothérapie.
Le myélome multiple
Le myélome multiple est un cancer qui commence dans les cellules plasmatiques de la moelle osseuse, tissu spongieux situé à l’intérieur de la plupart des os, dont ceux de la base du crâne. La moelle osseuse aide à créer des globules blancs et les globules rouges. Il est appelé myélome multiple lorsqu’il existe plusieurs lésion, ou plasmocytome quand il n’en existe qu’une.
Cette maladie engendre généralement un faible taux de globules rouges (anémie), ce qui peut entraîner une fatigue et des difficultés respiratoires. Il peut également engendrer un faible taux de globules blancs (leucopénie), ce qui augmente le risque d’infections. Le myélome multiple provoque également un faible taux de plaquettes (thrombopénie), ce qui peut entraîner des saignements anormaux.
La chimiothérapie est habituellement recommandée pour traiter le myélome multiple. La radiothérapie peut être utilisée pour soulager les douleurs osseuses ou pour traiter une tumeur intra-osseuse. Certains patients souffrant de myélome multiple subissent une greffe de moelle osseuse ou de cellules souches. Il existe deux types:
La transplantation autologue de moelle osseuse – également appelée transplantation de cellules souches – se fait à l’aide des cellules souches de la personne malade.
La transplantation allogénique implique l’utilisation de cellules souches de quelqu’un d’autre, généralement un membre de la famille. Ce traitement présente de sérieux risques, mais peut offrir une rémission à long terme.






