Les tumeurs bénignes situées dans la région de base du crâne peuvent causer des problèmes importants. Elles peuvent être également difficiles à diagnostiquer et à traiter.
[spacer size= »20″]
Les spécialistes de la chirurgie de la base de crâne du CHU de Caen sont qualifiés pour déterminer le type de tumeur, son emplacement précis et la meilleure méthode de traitement pour préserver votre fonction.
Les tumeurs bénignes de la base du crâne incluent:
[spacer size= »20″]
-
Neurinomes de l’acoustique
-
Méningiomes
-
Paragangliomes du corpuscule carotidien
-
Paragangliomes du glomus vaval
-
Paragangliomes du glomus jugulaire
-
Fibromes nasopharyngés
-
Schwannomes du trijumeau
-
Schwannomes du vague
-
Schwannome du formamen jugulaire
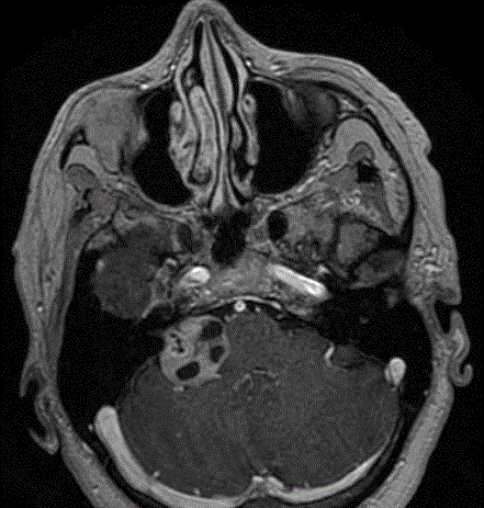
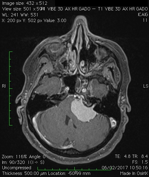
Les neurinomes de l’acoustique
Ce sont des tumeurs bénignes à croissance lente développées au dépens du nerf vestibulaire reliant l’oreille au cerveau. Aussi appelé schwannomes vestibulaires, ces tumeurs peuvent croître et endommager le tronc cérébral et les nerfs crâniens adjacents lors de leur développement. Les symptômes comprennent des troubles de l’équilibre ou des instabilités, une perte auditive et/ou des bourdonnements (acouphènes) dans l’oreille affectée.
Le traitement comprend la surveillance radiologique, la chirurgie ou la radiothérapie stéréotaxique. La chirurgie est réalisée par les membres de l’équipe du service ORL spécialisés dans cette chirurgie. Ensemble, ils décident de la meilleure façon d’aborder et enlever la tumeur tout en préservant la fonction nerveuse du visage. Un surveillance de la de la fonction du nerf faciale (monitoring) est effectuée pendant toute la durée de la chirurgie.
Une autre option de traitement réside dans la radiochirurgie stéréotaxique, un type de radiothérapie qui peut concentrer les rayons X à haute puissance sur la tumeur.

Différents stades du neurinome (d’après Jackler, ATLAS OF SKULL BASE SURGERY & NEUROTOLOGY. Thieme. ©2009)
Voir une vidéo de l’intervention
[spacer size= »20″]
Les méningiomes
Ces tumeurs se développent à partir des méninges, les membranes qui entourent le cerveau et la colonne vertébrale. Ces tumeurs sont généralement bénignes. Les symptômes varient selon l’endroit où se trouve la tumeur et de sa taille (oreille, nez). Il peut affecter la vision et l’ouïe ou causer des problèmes de mémoire.
Le traitement d’un méningiome comprend la surveillance radiologique de la tumeur, une intervention chirurgicale souvent en association avec l’équipe de neurochirurgie pour son exérèse, ou la radiochirurgie stéréotaxique. Si la tumeur est à l’origine de symptômes, tels que des vertiges ou une perte auditive, ou s’il grandi lors du suivi radiologique, une exérèse est réalisée.
Certains patients ont également besoin de radiochirurgie comme traitement primaire ou d’appoint.
[spacer size= »20″]
Voir une vidéo de l’intervention[spacer size= »20″]
Les paragangliomes
Ce sont des tumeurs rares qui se forment près de l’artère carotide, la veine jugulaire ou le long des voies nerveuses de la tête et du cou. Certains paragangliomes sécrètent des catécholamines – des hormones produites habituellement par les glandes surrénales – appelée adrénaline et noradrénaline. La libération de ces catécholamines dans le sang peut provoquer des symptômes tels que hypertension artérielle, maux de tête, transpiration, rythme cardiaque rapide ou irrégulier, pâleur et tremblements.
Les paragngliommes peuvent être de deux types : sporadiques, ou familliaux. Dans ce dernier cas ils touchent plusieurs personnes de la même famille, surviennent chez des patients plus jeunes et sont souvent multiples.
Le traitement consiste habituellement en l’exérèse complète de la tumeur par le chirurgien ORL.

Localisation d’un paragangliome du foramen jugulaire (d’après Jackler, ATLAS OF SKULL BASE SURGERY & NEUROTOLOGY. Thieme. ©2009 )
[spacer size= »20″]
Plusieurs forment cliniques existent :
Les tumeurs du corpuscule carotidien, qui sont une entité rare et à croissance lente . La symptomatologie est celle d’une masse cervicale pulsatile. Les tumeurs du corps carotidien peuvent être traités par chirurgie le plus souvent ou la radiothérapie, mais moins souvent.
Les tumeurs du Glomus vagal sont des excroissances qui proviennent dans les corps glomiques près du nerf vague (ou X), le plus long des nerfs crâniens. Les symptômes comprennent la paralysie des cordes vocales, des acouphène pulsatiles ou des troubles de la déglutition.
En règle générale, la chirurgie par un ORL est recommandé et permet d’enlever la tumeur. Si la tumeur se prolonge dans le cerveau, neurochirurgien aide à la résection de la tumeur.
Les tumeurs Glomus jugulaire sont rares. Il s’agit de tumeurs à croissance lente qui commencent dans l’os temporal (os de l’oreille) et se propagent à travers l’oreille. Les symptômes les plus courants sont des acouphènes pulsatiles ou une perte auditive. La tumeur peut se propager par la suite vers le cerveau, le nerf facial et l’oreille interne, affectant l’audition et de l’équilibre.
Ces tumeurs sont traitées chirurgicalement par les membres de l’équipe ORL ou par radiochirurgie stéréotaxique si elles sont très petites.
[spacer size= »20″]
Les Fibromes nasopharyngés
Ce sont des tumeurs non cancéreuses de la cavité nasale qui affecte presque exclusivement les adolescents de sexe masculin. Il peut également être appelé angiofibrome juvénile du nasopharynx.
Le traitement de ces lésions est chirurgical. La chirurgie est généralement effectuée par voie endoscopique (chirurgie endoscopique endonasale) par les membres de l’équipe ORL .
Lorsque l’exérèse chirurgicale est impossible, ce qui est extrêmement rare, la radiothérapie est recommandée. Des médicaments sont parfois utilisés pour réduire la taille de la tumeur.
[spacer size= »20″]
Les schwannomes du trijumeau
Ce sont des tumeurs rares. Il s’agit de tumeurs non cancéreuses du nerf qui fournit la sensibilité sur le visage (nerf trijumeau ou Vième nerf crânien). Ces tumeurs ont tendance à croître lentement et provoquer un engourdissement du visage.
La chirurgie est le traitement le plus courant, bien que certains peuvent être traités avec radiochirurgie stéréotaxique ou observation.
[spacer size= »20″]
Les schwannomes du vague
Ce sont des tumeurs du nerf vague (Xième nerf crânien), qui contrôle la corde vocale, entre autres fonctions.
Ces tumeurs sont le plus souvent traités par chirurgie par l’ORL, bien que certains patients plus âgés avec une bonne fonction des cordes vocales peuvent être observées et donc ne pas être opérés. Chez certains patients, certaines de ces tumeurs peuvent être traitées par radiochirurgie stéréotaxique.
[spacer size= »20″]
Voir une vidéo de l’intervention
[spacer size= »20″]
Les schwannomes du foramen jugulaire
Ce sont des tumeurs intracrâniennes rares impliquant le foramen jugulaire, qui est une grande ouverture de la base du crâne laissant passer les nerfs crâniens inférieurs et les grandes structures vasculaires (IX, X et XIième nerfs crâniens et veine jugulaire). Ce type de tumeur est généralement à croissance lente.
La chirurgie est souvent le traitement de choix.





